


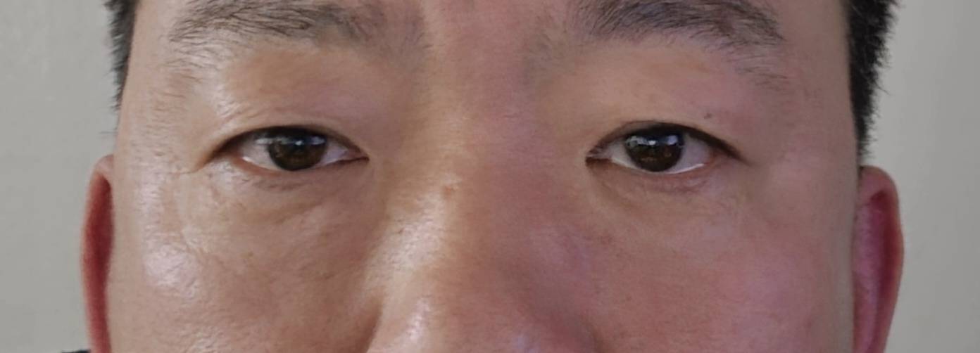
왼쪽만 눈밑지방재배치 수술을 받았습니다
오른쪽눈은 오래전 안와골절수술을 받은 후로 나이가 들어가면서
반대편인 왼쪽만 눈밑의 지방이 쳐져서 얼굴이 밸런스가 안맞게 되었습니다.
의사선생님과의 상담 끝에 한쪽 만 받게 되었네요
1월 15일에 시술 받은후 이제 3달이 되었습니다
전 주름제거나 눈의 다른 미용은 안하고 최대한 수술 받지 않은 쪽과 같아지도록 부탁드렸습니다.
많이 만족합니다
저처럼 운동하다가 안와골절수술을 받은 사람들 대다수가 나이가 들어감에 다쳤던 눈과 다치지 않았던 눈의 짝짝이가 되는걸
인터넷을 통해서 많이 볼수 있습니다.
권해드립니다 . 감사합니다.

총 2,662건의 글이 등록되었습니다.